ಮಣಿಪಾಲ: ಮಣಿಪಾಲದ ಕಸ್ತೂರ್ಬಾ ಆಸ್ಪತ್ರೆಯಲ್ಲಿನ ಮೂತ್ರಶಾಸ್ತ್ರಜ್ಞರ ತಂಡವು ಅತಿದೊಡ್ಡ ಮೂತ್ರಕೋಶದ ಕಲ್ಲು ಯಶಸ್ವಿಯಾಗಿ ತೆಗೆದುಹಾಕಿದೆ.

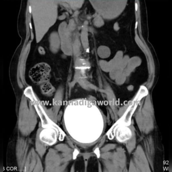
60 ವರ್ಷ ವಯಸ್ಸಿನ ಮಹಿಳೆ ಕಳೆದ ಆರು ವರ್ಷಗಳಿಂದ ಉರಿ ಮೂತ್ರ ದೂರುಗಳೊಂದಿಗೆ ಸ್ಥಳೀಯ ಆಸ್ಪತ್ರೆಗೆ ಭೇಟಿ ನೀಡುತ್ತಿದ್ದರು. ಈ ರೋಗಲಕ್ಷಣಗಳ ಪ್ರತಿ ಭೇಟಿಯಲ್ಲಿ ಮೂತ್ರನಾಳದ ಸೋಂಕಿಗೆ ಪ್ರಾಯೋಗಿಕವಾಗಿ ಚಿಕಿತ್ಸೆ ನೀಡಲಾಗಿತ್ತು. ಇತ್ತೀಚೆಗೆ ಕಸ್ತೂರ್ಬಾ ವೈದ್ಯಕೀಯ ಕಾಲೇಜು ಮತ್ತು ಆಸ್ಪತ್ರೆಗೆ ಭೇಟಿ ನೀಡಿದ್ದರು. ರೋಗಿಗೆ ಸರಳ ಸಿಟಿ ಸ್ಕ್ಯಾನ್ ಮಾಡಲಾಗಿದ್ದು ಇದರಿಂದ ಸಂಪೂರ್ಣ ಮೂತ್ರಕೋಶವನ್ನು ಆಕ್ರಮಿಸಿಕೊಂಡಿರುವ ಗಮನಾರ್ಹವಾದ ವಸ್ತು ಇರುವುದನ್ನು ಬಹಿರಂಗಪಡಿಸಿತು.
ಮೂತ್ರಶಾಸ್ತ್ರ ವಿಭಾಗದ ಪ್ರಾಧ್ಯಾಪಕ ಮತ್ತು ಉಪ ವೈದ್ಯಕೀಯ ಅಧೀಕ್ಷಕರಾದ ಡಾ.ಪದ್ಮರಾಜ್ ಹೆಗ್ಡೆ ಅವರ ಮಾರ್ಗದರ್ಶನದಲ್ಲಿ 11.5 x 7.5 ಸೆಂ.ಮೀ ಅಳತೆಯ 672 ಗ್ರಾಂ ತೂಕದ ಮೂತ್ರಕೋಶದ ಕಲ್ಲನ್ನು ಡಾ.ಅಾಂಶುಮನ್, ಡಾ.ಕಾಶಿ ವಿಶ್ವನಾಥ್, ಡಾ.ನಿಶಾ ಡಾ ವಿವೇಕ್ ಪೈ ಮತ್ತು ಡಾ ಕೃಷ್ಣ ಅವರ ತಂಡವು ತೆರೆದ ಸಿಸ್ಟೊಲಿಥೊಟಮಿ ಶಸ್ತ್ರಚಿಕಿತ್ಸೆ ಮೂಲಕ ಹೊರ ತೆಗೆದರು. ಎರಡನೇ ದಿನ ರೋಗಿಯನ್ನು ಆಸ್ಪತ್ರೆಯಿಂದ ಬಿಡುಗಡೆ ಮಾಡಲಾಯಿತು.
ಅಲ್ಟ್ರಾಸೋನೋಗ್ರಫಿ ಅಥವಾ ಎಕ್ಸ್-ರೇನಂತಹ ಆರೋಗ್ಯ ಸೌಲಭ್ಯಗಳನ್ನು ಹೊಂದಿರುವ ಗ್ರಾಮೀಣ ಪ್ರದೇಶಗಳಲ್ಲಿ ರೋಗನಿರ್ಣಯವನ್ನು ಮಾಡುವುದು ಸವಾಲಿನ ಸಂಗತಿಯಾಗಿದೆ. ನಮ್ಮ ಜ್ಞಾನದ ಪ್ರಕಾರ ಆರೋಗ್ಯವಂತ ವಯಸ್ಕ ಮಹಿಳೆಯಲ್ಲಿ 672 ಗ್ರಾಂ ತೂಕದ ದೈತ್ಯ ಮೂತ್ರಕೋಶದ ಕಲ್ಲು ಪ್ರಕರಣವು, ನಮ್ಮ ಜ್ಞಾನದ ಪ್ರಕಾರ ಇದು ವಿಶ್ವದಲ್ಲಿ ವರದಿಯಾಗಿರುವ ಮಹಿಳಾ ರೋಗಿಯಲ್ಲಿನ ಅತಿ ದೊಡ್ಡ ಮೂತ್ರಕೋಶದ ಕಲ್ಲು. ಇಲ್ಲಿಯವರೆಗೆ ವರದಿಯಾದ ಅತಿದೊಡ್ಡ ಮೂತ್ರಕೋಶದ ಕಲ್ಲು ಮುಂಬೈನ ಕೆಇಎಂ ಆಸ್ಪತ್ರೆಯಿಂದ, ಅದು 528 ಗ್ರಾಂ ತೂಕವಿತ್ತು.
ಅಪರೂಪದ ಕ್ಲಿಷ್ಟಕರ ಶಸ್ತ್ರಚಿಕಿತ್ಸಾ ಪ್ರಕ್ರಿಯೆಯನ್ನು ಯಶಸ್ವಿಯಾಗಿ ನಡೆಸಿದ ತಂಡವನ್ನು ಮಾಹೆ ಮಣಿಪಾಲದ ಭೋದನಾ ಆಸ್ಪತ್ರೆಗಳ ಮುಖ್ಯ ನಿರ್ವಹಣಾಧಿಕಾರಿ ಡಾ ಆನಂದ್ ವೇಣುಗೋಪಾಲ್ ಮತ್ತು ವೈದ್ಯಕೀಯ ಅಧೀಕ್ಷಕ ಡಾ. ಅವಿನಾಶ್ ಶೆಟ್ಟಿ ಅಭಿನಂದಿಸಿದ್ದಾರೆ.
Comments are closed.